豊富なMFT指導経験
昭和63年よりMFTを導⼊し、多くの指導経験を活かし、様々な症例に対応しています。指導を担当する⻭科衛⽣⼠は全員が⽇本⼝腔筋機能療法(MFT)学会に所属し多数のセミナーを受講しています。
歯ならびが悪くなる原因は大きく二つに分けられます。一つは顎が小さい、歯が大きい、舌小帯が短い、歯の数が少ないなどの先天的な原因です。もう一つは口腔周囲筋(唇、舌、頬や顎などの筋肉)の不調和、指しゃぶりや頬杖等の態癖(※)、口呼吸などの後天的な原因です。当院では後天的原因を改善するためにMFT(Oral Myofunctional Therapy)を導入しています。MFTとは歯ならびを乱す原因となる筋肉の不調和をトレーニングによって整えていく療法です。正しい舌や唇の位置、正しい飲み込み方、鼻呼吸、正しい姿勢、正しい発音などをMFTにより身につけることで正常に機能するきれいな歯ならびに導きます。
※態癖:日常の生活習慣の中で行っている、歯ならびや顎の発育に悪影響を与える癖のこと。
昭和63年よりMFTを導⼊し、多くの指導経験を活かし、様々な症例に対応しています。指導を担当する⻭科衛⽣⼠は全員が⽇本⼝腔筋機能療法(MFT)学会に所属し多数のセミナーを受講しています。
上手にかめない、飲み込めない、発音がおかしい、口呼吸、いびきなどお口の機能が十分に発達していない状態である場合に、MFTを応用した機能トレーニングを行います。
健康なお口の機能をつくりあげるには、胎児期を含めた赤ちゃんの時期からの発達が大きく関わっています。妊娠中の方や、歯が生える前のお子さんも気軽にご相談ください。
MFTでは咀嚼・嚥下(食べ物を噛む・飲み込む)や発音をするときに使う唇、舌、のどの筋肉、頬の筋肉、顎の筋肉などそれぞれの筋肉の訓練をしてバランスを整えます。唇は軽く閉じてリラックスし、舌全体がふわりと上あごにつき、鼻で呼吸、上下の歯は離れている正しい状態に導きます。また、正しい咀嚼・嚥下・発音のしかたを覚え習慣化していきます。
内容は患者さんの状態によって異なりますが、お口の周りの筋肉、咀嚼、嚥下、発音の訓練などによって構成されています。
舌の先をいつもつけておく位置「スポット」を覚えます。
舌を上に持ち上げる力を鍛えます。
口のまわりの筋肉に力をつけます。
舌をいつも上あごにつけておく習慣をつけます。
なるべく早く、低年齢のうちに歯ならびを悪くする原因となる要素を問診、診査、観察により見つけ出し、早めに改善することが目標です。
唇は閉じてリラックス、お鼻で息、舌は全体がふわりと上顎につき、上下の歯は軽く離れている正しい状態に導きます。
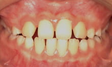
MFT前(8歳)
上下の前歯が前方に押し出され、歯と歯の間にすき間ができています。咬み合わせのずれもあり、真ん中があっていません。
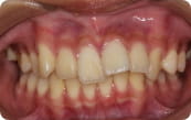
MFT後(9歳)
歯と歯の間のすき間が無くなってきました。咬み合わせのずれも改善しています。
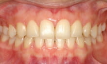
MFT終了後7年経過(16歳)
本来成長するべき形に成長し、きれいな歯ならびになりました。
MFTのトレーニングは矯正治療を成功させるための大切な要素のひとつでもあります。
矯正治療では、1本ずつの歯に適切な力を少しずつ加えながら歯を移動させていきます。しかし、⻭列不正の原因となった⼒は矯正の⼒と拮抗し矯正治療の妨げとなります。スムーズに治療が進まずに治療期間が予定よりも長くなってしまうことがあります。また、歯列不正の原因を改善できていなければ、治療後に治療前の歯ならびに戻ろうとする「後戻り」をしてしまう可能性が高くなります。
矯正治療をスムーズに進め、治療後のきれいな歯ならびを維持するためにもMFTはとても重要です。
矯正治療前(14歳)
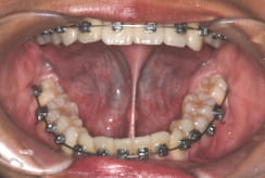
矯正治療中(15歳)
MFTにより舌全体が上顎に収まるようになり、正しく機能しています。
矯正治療終了(16歳)
治療終了後3年(19歳)
後戻りもなく経過は良好です。
MFTは子どもだけではなく、大人にも効果があります。成長過程にある子どもとは違い、大人はすでに骨がしっかりと固くなっていることなどから、MFTだけで歯ならびを改善するのは難しくなりますが、大人の方もMFTを実践することでお口の環境を正常な状態へ整えていくことが可能です。⾼齢者の摂⾷嚥下のリハビリテーション、オーラルフレイル(※)の予防、⾆痛症、顎関節症、ドライマウス、発⾳障害などの改善に応用される他、「唇を閉じると顎にしわができる」「唇がヘの字型になる」などのお顔の表情筋の問題を解決し、きれいな笑顔をつくる練習などにもMFTは効果的です。
※オーラルフレイル:「オーラル=口」「フレイル=虚弱」加齢に伴う口の機能の軽微な低下や食の偏りなどの衰えを意味します。
MFT前(32歳)
上下の唇が乾燥して厚く、唇を閉じると顎に梅干状のしわができ口角が下がり、お口周りがぽっちゃりしています。
MFT終了後(34歳)
唇が引き締まり口角が上がり、顎にしわもできなくなりました。顎のラインもすっきりとしています。
苦手だった笑顔がきれいにできるようになりました。
身体のゆがみや姿勢の悪さは、遺伝ではなく生まれ育った環境が大きな影響を与えている可能性があり、赤ちゃんの時期から全身の筋肉を左右均等にバランスよく使うことが大切です。赤ちゃんを健康に育て、お口の機能を正しく育てることで、むし歯や歯周病、歯列不正などの問題を防ぐことに繋がります。
妊娠中のお母さんの姿勢、赤ちゃんの姿勢や離乳食時のポイントなど、歯科の立場からアドバイスできることがあります。
01
02
03















