治療を開始する前のトレーニング
当院では初診時にすぐに治療は行わず、はじめて歯科治療を受けるお子さんが、上手に治療が受けられるようにトレーニングを行います。(緊急処置が必要な場合を除きます)
小児歯科では、お母さんのお腹にいる赤ちゃんから永久歯の歯ならびが生えそろう中学生くらいまでの患者さんを対象にしています。心身の成長発育期にあり、お口の中も乳歯から永久歯へ大きく変わっていきます。
小児歯科の大きな目標は、「むし歯のない、きれいな永久歯の歯ならび」を育成することです。むし歯のない、きれいな永久歯の歯ならびの完成まで、治療を受けるお子さんや保護者の方に寄り添いながら、年齢に応じた治療や予防を行っていきます。
当院では初診時にすぐに治療は行わず、はじめて歯科治療を受けるお子さんが、上手に治療が受けられるようにトレーニングを行います。(緊急処置が必要な場合を除きます)
「むし歯のない、きれいな永久歯の歯ならび」を育成するためには、定期的な検診が大切です。
むし歯や外傷などにより、本来生え変わる時期より早く乳歯を失った場合、装置によって後から生えてくる永久歯のスペースを保持します。
上手にかめない、飲み込めない、発音がおかしい、口呼吸、いびきなどお口の機能が十分に発達していない状態である場合に、お子さんに合った機能トレーニングを行います。
はじめて歯科治療を受けるお子さんは、治療に対して不安や恐怖心をもっています。私たちは歯科治療を受けるお子さんの心理的な問題について十分に理解しており、生涯を通じて歯科に対して悪いイメージが形成されないように配慮しています。
治療をスムーズに進めるため、治療を始める前にお子さんに治療のことを知ってもらう「歯科治療に対するトレーニング」を行います。治療までの段階を4つのステップに分けてトレーニングを進めます。また、トレーニングでは時間をかけてお子さんと接することで、私たちがお子さんの性格や、治療に対して心配があるかなどを知ることができます。
01歯みがき練習
02治療器具の練習
03治療室での練習
04短時間での治療
上手に治療が受けられるように4つのステップにそってトレーニングを行います。
お子さんの年齢、性格、治療に対する協力状態に応じて進み方は違ってきます。
当院ではじめて治療を受けられるお子さんの保護者の方を対象に、こどもの歯科講座を行っています。お子さんの治療をスムーズに進めていくため、私たちが行っていることや考えていること、治療やお口の健康のことなどを保護者の方に知っていただき、理解していただくことを目的としています。(はじめて治療を受けられるお子さんの保護者を対象としていますが、ご興味のある方にもお話させていただくこともできます。)
1分でわかる歯科動画でも内容を一部抜粋して紹介していますので、是非ご覧ください。
小児歯科の目標である「むし歯のない、きれいな永久歯の歯ならび」を育成するためには、定期的な検診が大切です。
お子さんは日々成長しています。それに伴いお口の中も変化しています。お口の成長過程を管理し、問題があった場合に早期に対処できるように、一人ひとりの状態にあわせて年2~4回(3~6ヶ月間隔)で定期検診を行います。
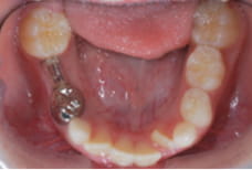
むし歯などが原因で、本来永久歯に生え変わる時期よりも早く、乳歯を失ってしまうことがあります。そのままにしておくと、となりの歯が傾いて永久歯が生えるスペースが狭くなってしまい、歯ならびに影響を与えてしまいます。永久歯が生えるスペースが狭くならないようスペースを保つことを「保隙」といい、スペースを保つ目的で「保隙装置」を使います。
バンドループ / クラウンループ
永久歯が生えてくるまで、ワイヤーを使って永久歯の場所が狭くならないようにします。
(左:バンドループ / 右:クラウンループ)(上:バンドループ / 下:クラウンループ)
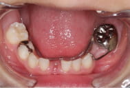
ディスタルシュー
6才臼歯が生える前に、手前の乳歯が抜けてしまった場合に装着します。
定期検診で経過をみて、6歳臼歯が生えてくる時期に装置をはずします。
咀嚼(かむこと)や嚥下(飲み込むこと)がうまくできない、発音の異常、口呼吸などが認められる症状を「口腔機能発達不全症」といいます。口腔機能発達不全症はお子さんの歯列不正と深く関わっています。この症状を放置し、年齢に合ったトレーニングを行わなかった場合、歯ならびがより悪くなったり、呼吸しづらくなったり、姿勢が悪くなるなど、長期的にわたり、お子さんの身体に悪影響を与え続けることになります。当院では、口腔機能発達不全症と診断されたお子さんに、症状に応じた機能トレーニングを行っています。
01
02
03
04









