歯科衛生士の担当制
担当⻭科衛⽣⼠がお⼝の中の詳しい検査を行い、患者さんの問題や希望についてよくお聞きします。治療に際しては、患者さんと先⽣との架け橋となる役割を担います。
一人ひとりの患者さんのお口の状態を担当歯科衛生士が把握し、予防や治療を行い、さらに専門の歯科医が協力し合って歯科治療を行っています。それぞれの知識と技術を生かせるようなチームを作り、より質の高い歯科医療を提供していきたいと考えています。
担当⻭科衛⽣⼠がお⼝の中の詳しい検査を行い、患者さんの問題や希望についてよくお聞きします。治療に際しては、患者さんと先⽣との架け橋となる役割を担います。
成⼈⻭科は、むし⻭や⻭周病の治療から入れ⻭やインプラントまで診療内容が様々。そこで当院では、内容ごとに各専⾨の⻭科医が⻭科衛⽣⼠とチームで治療を担当します。
⾁眼の3〜20倍に拡⼤した視野で治療を⾏うことで、より正確な治療が可能になり、治療のレベルを格段に向上させられます。
歯周病は、歯を支える周りの組織に起こる病気でプラーク(歯垢)中の細菌による慢性炎症性疾患です。歯肉に炎症が起こり、歯を支える骨を溶かしてしまいます。歯周病はむし歯と違い、痛みなどの自覚症状が出にくく、気付かないうちに手遅れになってしまうことも少なくありません。歯を失わないために早めの治療がとても大切です。主に歯科衛生士が担当し、歯周精密検査やプラークコントロール、歯石除去などを行います。
健康な歯肉
歯肉は薄いピンク色で引き締まっている。
歯肉炎
炎症が歯肉のみに起こっている状態。歯肉は赤く腫れて歯磨きの時に出血することもある。
軽度~中等度歯周炎
炎症が歯肉から歯槽骨におよび骨が溶け始める。歯槽骨の破壊が進むと歯は支えを失いグラグラしてくる。治療すれば歯を抜かずに済むことが多い。
重度歯周炎
歯根を支えている歯槽骨がほとんど溶けてしまい、歯のぐらつきがひどくなる。この状態まで進行すると抜歯になることも多くなる。
マイクロスコープ(歯科用顕微鏡)や拡大鏡を使ってより正確な診断・治療を行っています。患部を高倍率で直接見ることで、むし歯になった部分のみを削り取ることが可能なため、削る量を最小限に抑えることができ、歯の寿命を延ばすことにつながります。また、肉眼では確認できないようなわずかな段差(ギャップ)も見逃すことなく、より確実な充填治療(詰め物) が行えます。
根の治療(根管治療)では根管内を詳細に見ることができ、内部をしっかり確認しながら治療が行えます。そのため、根管内の感染してしまった悪い部分を徹底的に除去することが可能となり、精度の高い治療が行えます。
むし歯や歯周病などで歯を失ったところを補うために入れ歯を使います。「総入れ歯」と「部分入れ歯」があり、保険治療以外に自費治療もあります。それによって入れ歯の材質や機能に違いがあり、また、種類もいくつかあります。
対応可能な入れ歯:保険治療のほか、金属床義歯、ノンメタルクラスプデンチャーなどがあります。
費用の目安:種類により大きく異なります。詳しくはご相談下さい。
保険治療の義歯
入れ歯を固定するための金属のバネ(クラスプ)が前歯にかかると見た目がよくありません。
ノンメタルクラスプデンチャー
金属製のバネを使用しない入れ歯。バネが目立たず審美性や装着感が優れています。
マグネットデンチャー
残っている歯が少なく、バネをかけると残っている歯の負担が大きくなってしまいます。
金属製のバネの代わりに磁石で固定する入れ歯。見た目がよく、審美性に優れています。また、歯にかかる負担を減らし、保護することができます。
あごが痛い、だるい、開かない、カクカク音がする・・・これらの症状は顎関節症といわれる症状です。
むし歯、歯周病に次ぐ第3の歯科疾患といわれ、主な治療には、生活指導や運動療法、薬物療法などがあります。
睡眠時の歯ぎしりや日中の咬みしめによって歯やあごに長時間過剰な力が加わることで、“歯がしみる” “咬むと痛い” “歯が折れる” などの障害につながると考えられています。このような障害は「歯ぎしり・咬みしめ障害」とよばれ、顎関節症の原因と考えられています。
歯ぎしりや咬みしめは無意識にすることが多く、気づいていない人がほとんどです。 まずは自分が歯ぎしりや咬みしめをしていないか気づくことが大切です。
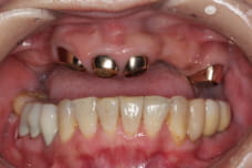
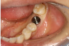
インプラント治療とは、歯がなくなった顎の骨にインプラントと呼ばれる人工歯根を埋め込み、その上に歯を作る方法です。
歯を失ってしまった場合、ブリッジや入れ歯で、その機能を回復させるのが一般的な治療法でしたが、最近では“インプラント治療”が多く行われるようになってきました。
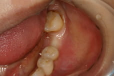
前歯のインプラント
奥歯のインプラント
歯および歯肉の形や色を美しくし、口元との調和を図ることを目的とするのが「審美歯科」です。
治療では、歯の色や詰め物、被せ物を白くしたり、歯の形や見た目などを綺麗にします。
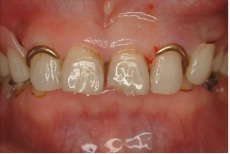
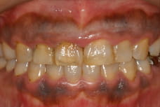
治療前(39歳女性)
前歯の変色、喫煙の影響による歯肉のメラニン色素沈着がみられます。
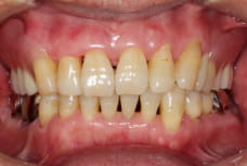
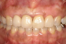
治療後
診療内容:
禁煙後、歯肉に沈着したメラニン層を除去。歯肉によって歯が小さく見えていたため歯肉の整形を行いました。
また、上下の歯にホワイトニングを実施。上の前歯4本はオールセラミッククラウン、ラミネートべニア修復で歯の形・色を整え、自然で美しい見た目になりました。
主に親知らずの抜歯や口の周りのできものの診察や簡単な処置など、出血に対する処置を行います。持病があって薬を飲んでいる有病患者さんに対してもある程度の細かい対応が可能です。
メインテナンスは、定期的にお口の管理をすることにより、治療によって得られた健康な状態を持続させ、むし⻭や⻭周病などの再発を防ぐために⾏います。治療終了時が、お口の健康を守るための第2のスタートラインです。
メインテナンスでは、さまざまな項⽬のチェックや⼝腔内の清掃などを⾏います。⾃分で⾏うプラークコントール(セルフケア) には限界があります。特に⻭周病を予防するためには、専⾨家の⾏うプラークコントロール(プロフェッショナルケア)が必要となります。担当歯科衛生士が、お⼝の健康を⽣涯にわたって守るためのサポートをいたします。
歯周ポケット内の歯周病菌は、処置したのち3~4ヶ月で元の細菌叢に戻ります。そこで、細菌が悪影響を起こしだす前にメインテナンスを行って、歯周病の再発を防ぎます。
01
02
03























